Несмотря на то что эктопию на УЗИ не видно, метод обладает диагностической ценностью. Специалисту видно общее состояние шейки матки. Он может разглядеть другие патологии и оценить следующие показатели маточной шейки и цервикального канала:
Содержание скрыть
Можно ли увидеть на УЗИ эрозию шейки матки
Для диагностики многих болезней репродуктивной сферы используется УЗИ. В связи с чем возникает вопрос, что видно при выполнении УЗИ. Женщины интересуются, можно ли увидеть эрозию на УЗИ шейки матки. Тем более известно, что воспаление не видно на УЗИ шейки матки.
В современной гинекологии ультразвуковое исследование является одним из ведущих методов диагностики. УЗИ органов малого таза позволяет обнаружить заболевания на начальной стадии развития, а также предупредить развитие многих опасных патологий. Ультразвуковое обследование незаменимо при наблюдении за развитием беременности, а также для диагностики патологических состояний шейки матки.

УЗИ в гинекологии обычно проводится комплексно. В рамках ультразвукового метода врач может увидеть состояние шейки, тела матки и яичников. Для диагностики состояния шейки матки УЗИ выполняется двумя способами:
Иногда целесообразно проводить обследование трансректально. Однако гинекологи считают, что наиболее достоверным способом ультразвукового исследования шейки матки является способ, посредством которого датчик вводится во влагалище. Данный метод позволяет увидеть характерные изменения более отчётливо.
Это связано с тем, что при трансвагинальном исследовании сигнал характеризуется абсолютной чёткостью, так как между исследуемой тканью и датчиком отсутствует искажающая изображение среда. Трансвагинальное ультразвуковое исследование помогает увидеть и разглядеть патологии на ранней стадии.
Трансабдоминальный способ проводится, когда трансвагинальное УЗИ невозможно. В целом трансабдоминальное ультразвуковое исследование осуществляется в следующих случаях:
УЗИ при выявлении
Среди самых распространённых патологий шейки матки выделяют эрозию, дисплазию и рак. Эрозия маточной шейки диагностируется у представительниц разного возраста, так как недуг характерен для девушек, женщин репродуктивного цикла и климактерического периода.
Эрозию можно назвать доброкачественным процессом. В действительности под эрозией понимают не одно, а несколько состояний эпителия шейки матки. Особенность эрозии в том, что в некоторых случаях она подразумевает не патологию, а закономерный физиологический этап развития. Поскольку зачастую эрозия выявляется в форме эктопии, в медицинской литературе встречается преимущественно этот термин.
Эктопия означает замещение одного вида эпителия другим. В структуре маточной шейки выделяют два вида эпителиальной ткани:
Плоский эпителий покрывает влагалищную часть шейки матки, которая визуализируется при осмотре. Его особенностью является наличие нескольких слоёв. К тому же именно на этом участке располагается эрозия.
Цилиндрический эпителий покрывает цервикальный канал. Он отличается однослойной структурой. Цервикальный канал характеризуется активностью желез, продуцирующих слизь.
Плоский и цилиндрический эпителий имеют визуальные отличия. Многослойная ткань имеет гладкую поверхность и светлый розовый окрас. Однослойная ткань отличается красноватым оттенком и бархатистой текстурой.
Нижний участок цервикального канала называется наружным зевом. Эта область примечательна тем, что в ней находится переходная зона. В этой зоне трансформации соединяются два вида эпителия, что делает её уязвимой и восприимчивой к неблагоприятным факторам.

Эрозия шейки матки возникает в результате воздействия на эпителиальную ткань многих факторов. Самыми распространёнными причинами недуга являются:
- гормональные нарушения, вызванные колебаниями уровня эстрогенов и неадекватным приёмом некоторых медикаментозных препаратов;
- инфекции, которые могут быть результатом отсутствия барьерной контрацепции, нескольких половых партнёров;
- травмы шеечного эпителия вследствие различных хирургических манипуляций, ранней половой жизни;
- наследственность и внутриутробные особенности развития эпителиальной ткани.
Влияние тех или иных факторов обуславливает развитие определённых форм эрозии.
- Врождённая эрозия представляет собой одну из форм эктопии. При данном дефекте видно, что влагалищная часть шейки матки выстилается не плоским многослойным, а цилиндрическим однослойным эпителием. Зона трансформации выходит за область наружного зева, таким образом, её можно разглядеть в процессе исследования шейки матки. Однако такой вариант является физиологической нормой, так как со временем эрозивное пятно ровной формы без признаков воспаления исчезает.
- Истинную эрозию можно увидеть, если целостность покровного эпителия нарушается. Таким образом, видно язву или рану. В течение двух недель истинная эрозия заживает. При неправильном восстановлении повреждённого участка со временем можно увидеть и разглядеть псевдоэрозию, представляющую собой приобретённую эктопию.
- Псевдоэрозия – это появление на участке повреждённого эпителия влагалищной части шейки матки клеток цервикального канала. В отличие от врождённой эктопии, такой дефект не исчезает. Риск перехода эрозивного пятна в рак и частое присоединение инфекции обуславливает показания к лечению. Устранение псевдоэрозии проводят при помощи прижигания.
Эрозия нередко сопровождается слизистыми выделениями, которые являются результатом функционирования желез цилиндрических клеток. При эрозии также можно увидеть контактные кровянистые выделения после осмотра гинекологом или половых актов. Во влагалищном мазке иногда определяется повышенное содержание лейкоцитов в случае отсутствия признаков воспаления.
Многие женщины интересуются, при помощи каких методов можно диагностировать недуг и видно ли на УЗИ эрозию шейки матки. Дефект можно разглядеть во время визуального осмотра шейки матки. В качестве дифференциальной диагностики используют кольпоскопию, мазок на онкоцитологию и биопсию. В целом УЗИ при выявлении эрозии является лишь вспомогательным методом. Ультразвуковой датчик не улавливает такие патологические процессы, как эрозия, соответственно на УЗИ ее не видно.
Посредством ультразвукового исследования нельзя увидеть характерные изменения, которые происходят в слизистом слое. Доброкачественное образование можно разглядеть визуально и подтвердить при помощи цитологического обследования.

Несмотря на то что эктопию на УЗИ не видно, метод обладает диагностической ценностью. Специалисту видно общее состояние шейки матки. Он может разглядеть другие патологии и оценить следующие показатели маточной шейки и цервикального канала:
По УЗИ видно есть ли опухоли, кисты и другие образования. Посредством ультразвукового исследования можно разглядеть общее состояние внутреннего зева. Благодаря УЗИ можно увидеть и оценить кровоток. Это связано с тем, что если видно изменение в кровотоке, врачи подозревают онкологию.
Нередко можно увидеть, что рак шейки матки маскируется под такой фоновый процесс, как эрозия. При помощи ультразвукового исследования видно, является ли образование злокачественной опухолью. Но видно это только при 2, 3 или 4 стадии рака. УЗИ позволяет увидеть и разглядеть изменения, которые характерны для опухоли. В процессе ультразвукового исследования видно злокачественное образование, которое можно разглядеть при диаметре от трёх миллиметров.
Возможно обнаружение отклонение в шеечном канале. К возможным относят папилломы, полипы, спайки. Иногда УЗИ показывает кисты, образующиеся из-за закупоренных протоков желез.
УЗИ при эрозии шейки матки и иных патологиях
УЗИ при эрозии шейки матки не используют отдельно. Как правило, врач оценивает состояние всех внутренних половых органов: матки, фаллопиевых труб, яичников. Ультразвуковое исследование показано для определения размеров, особенностей кровоснабжения, структуры тканей. Результаты дают возможность определить эрозию и другие патологии.
УЗИ — достаточно эффективный метод диагностики шеечных заболеваний, но не единственный. Эктопию чаще всего обнаруживают при обычном осмотре в зеркалах. УЗИ имеет большее значение в случаях серьезных изменений тканей:
В целом, ультразвуковое исследование при эрозии шейки матки считается уточняющим методом.
УЗИ применяют при обследовании беременных женщин. Самый главный параметр — длина шейки матки. Ее укорочение — признак угрозы невынашивания, истмико-цервикальной недостаточности. Расчет длины называется цервикометрия.
Подготовка и проведение
Правила подготовки к ультразвуку при эрозии и прочих отклонениях зависят от способа проведения: абдоминального или вагинального. Обследование через брюшную стенку требует наполнения мочевого пузыря. Для этого нужно выпить 1,5 — 2 литра жидкости. К вагинальному УЗИ действует обратное требование.
Чтобы увидеть изображение органов на УЗ мониторе, врач наносит проводящий гель на датчик. В случае вагинального способа — под презерватив.
Расшифровка
Шейка продолжает тело матки, представляет ее нижнюю часть. В норме она занимает длину около 1 / 2 или 1 / 3 тела. Место перехода называется перешейком. Толщину ширину смотрят на уровне внутреннего зева.
При отсутствии эрозии и иных заболеваний врач отмечает в заключении «без патологии». Ультразвуковое исследование выявляет неравномерность структуры, деформацию шейки матки, уплотнения, говорящие о возможных доброкачественных и злокачественных опухолях.
Возможно обнаружение отклонение в шеечном канале. К возможным относят папилломы, полипы, спайки. Иногда УЗИ показывает кисты, образующиеся из-за закупоренных протоков желез.
При проведении УЗИ у беременных учитывается срок вынашивания. Необходимо также учитывать индивидуальные особенности строения шейки матки. У небеременных пациенток длина составляет от 32 до 50 миллиметров — обе крайности считаются нормальными. К середине срока показатель несколько уменьшается. У первородящих — не менее 3 сантиметров. К концу 7 месяца значение снова меняется, примерно до 3,7 см. Ширина постепенно увеличивается, к родам достигает 4 сантиметров.
УЗИ по гинекологии предоставляет широкие возможности диагностики, которая имеет множество преимуществ: безопасность для всех групп пациенток, нетравматичность, отсутствие выраженных ощущений при проведении, быстрое предоставление результатов. Ультразвуковое исследование при эрозии шейки матки и других нарушениях становится более точным благодаря применению аппаратов с высокой чувствительностью.
Клиника «Евромед С» предлагает пройти ультразвуковую диагностику. У нас есть необходимое техническое оснащение, прием ведут специалисты с большим клиническим опытом.
Существует множество заболеваний шейки матки, часть из которых представляют угрозу с точки зрения малигнизации. Другие же не вызывают никакой онкологической настороженности. Важно знать основные типы патологий шейки матки и их симптомы, чтобы вовремя принять меры.
Симптомы доброкачественных и предраковых заболеваний шейки матки
Существует множество заболеваний шейки матки, часть из которых представляют угрозу с точки зрения малигнизации. Другие же не вызывают никакой онкологической настороженности. Важно знать основные типы патологий шейки матки и их симптомы, чтобы вовремя принять меры.
К основным доброкачественным и предраковым заболеваниям шейки матки относят:
-
— типичным симптомом становится возникновение на поверхности шейки дополнительного слоя эпителия в виде плотных чешуек;
- дисплазию — нарушение строения клеток шейки матки, атипия, которая почти всегда в результате приводит к раку без лечения;
- эритроплакию шейки матки — это атрофия поверхностного слоя эпителия шейки матки, вызывает у врачей онкологическую настороженность;
- аденоматоз шейки матки — разрастание эпителия, который начинает выпячиваться в полость матки, образуя полип эндометрия;
- другие функциональные патологии, которые не вызывают рак — эрозию, эктопию, эктропион.
Симптомы доброкачественных болезней шейки матки
К доброкачественным состояниям, как мы писали выше, относят эктопию, эктропион, лейкоплакию, эрозию. Для них характерны следующие симптомы:
- внешние изменения на самой шейке матки, такие как белые чешуйки и пятна на поверхности органа при лейкоплакии, эти очаги слегка возвышаются над поверхностью эпителия;
- при истинной эрозии и эктопии врач видит красные участки цилиндрического эпителия на поверхности шейки, изъязвления и раневую ткань;
- возникают обильные выделения белого или прозрачного цвета — результат активности желез эпителия шеечного канала;
- болезненный половой акт, возникновение кровянистых выделений во время и после коитуса;
- тянущие боли внизу живота;
- если присоединяется бактериальная инфекция, возникает характерный неприятный запах, а выделения приобретают желтоватый оттенок.
Доброкачественные заболевания шейки матки никогда не вызывают тяжелых симптомов. Женщина себя чувствует хорошо и не предъявляет никаких особенных жалоб. Как правило, ее могут беспокоить только обильные выделения и кровомазание после полового акта, но и это встречается не часто.
Признаки предраковых патологий шейки матки
Дисплазия шейки матки, аденоматоз, эритроплакия обычно проявляются стерто. Это еще одна причина, по которой необходимы регулярные посещения врача, ведь сама женщина не может увидеть, что у нее внутри и вовремя определить опасную болезнь. Распространенные симптомы предраковых заболеваний шейки матки такие:
Если лечение отсутствует, начинается повторное разрушение шейки кислыми выделениями или микробными токсинами. Рана затягивается неправильно, за счет цилиндрической ткани.
Что такое эрозия шейки матки, какие бывают виды и как ее лечить?
Эрозия шейки матки — это оголение ее надвлагалищной части из-за слущивания эпителия многослойного типа, с открытием пролегающего промежуточного или парабазального слоя, который легко травмируется. Нежное покрытие не адаптировано под кислую среду влагалища. Пораженные клетки шейки матки отвечают воспалительной реакцией. В запущенных случаях разрушаются, оставляя раневую поверхность. Женская эрозия выглядит круглым красным пятном с отечным ободком на зеве шейки.
Похожая картина наблюдается при эктопии, когда железистый эпителий выходит за границы внутреннего канала шейки матки (эндоцервикса). Происходит замещение в слизистых оболочках, формирующих зону трансформации, то есть вытеснение ее многослойной формы с нарастанием цилиндрической. Граница маточного зева перестает обладать свойством защиты. Атипичная по расположению оболочка разрушается под действием продуктов молочнокислых бактерий влагалища, отслаивается при физическом воздействии или химическом контакте.
Специфика гинекологической патологии в том, что дно эрозии имеет гладкую структуру. Обнаружение мелких шарообразных полостей, говорит о наличии кист. Плотные включения встречаются при доброкачественных новообразованиях, а бугристый нарост без четких очертаний при онкологии. От распада таких образований, также появляются эрозии.
Что такое эрозия по-женски многие девушки знают на личном опыте, а кто-то слышал об этом от знакомых. Но мало кто задумывался насколько коварно это заболевание шейки матки. Динамика эрозии развивается по-разному. Одни не чувствуют никаких признаков нарушения здоровья, эрозию обнаруживают случайно во время плановой консультации гинеколога. У других клиническая картина более выражена, стремительное течение делает регулярное наблюдение неэффективным.
Причины эрозии шейки матки
Исходя из определения что такое эрозия понятно, с чем мы имеем дело, но не каждая девушка понимает, почему она возникла. На самом деле существует сотня причин эндо- и экзогенного характера. К внутренним относятся негативные процессы, происходящие в организме. Внешние представлены провоцирующими факторами. Так как изменениям шейки матки подвержены все возрастные категории, то и причины будут отличаться.
- прерывание нежелательной беременности
- частая смена партнеров
- ранняя сексуальная связь
- неаккуратная постановка внутриматочной спирали
- последствия диагностического выскабливания
- дисбаланс уровня женских гормонов
- наличие венерических болезней
Эрозия на матке также провоцируется химическими веществами, содержащимися в средствах для интимной гигиены, лубрикантах. Часто повреждение слизистой шейки матки связано со спринцеванием агрессивными растворами после незащищенной сексуальной связи. В отношении микробов, вызывающих ЗППП они бесполезны, а из-за появления раны вовлекаются придатки и матка.
Виды эрозии
Эрозия на шейке матки имеет международную классификацию, основанную на биологических метаморфозах и первопричинах отклонений от нормы. Делится она на три основных категории:
- Возникновение врожденных эрозий шейки матки связано с внутриутробным периодом. Лечение нужно, если физиологическая эпителизация не произошла с наступлением пубертатного периода.
- При истинных эрозиях непосредственно оголяются пролегающие оболочки, что может повлечь их дальнейшую трансформацию нескольких слоев шейки матки. Провоцирующим фактором крупной истинной эктопии выступают травмы, хронические воспаления.
- Отличительной чертой ложных эрозий шейки является атипичный рост железистой ткани, расположенной внутри цервикального канала. Смещение происходит из-за сбоя эндокринной регуляции или механическом занесении этих клеток на экзоцервикс (инструментальные исследования, выскабливание).
Псевдоэрозия является доброкачественным образованием, которое по медицинской статистике поражает 30% гинекологических пациенток. Приобретенные неосложнённые формы способны достигать большого размера, тогда шейка матки имеет вид ярко-красного припухшего конуса.
На разных стадиях развития эрозии отмечается изменение динамики. Прогрессивный этап длится 14 дней. В это время шейку матки атакуют антигены, вызывая гнойную или серозную экссудацию. Фоновая пролиферация запускается с целью закрытия эрозии.
Если лечение отсутствует, начинается повторное разрушение шейки кислыми выделениями или микробными токсинами. Рана затягивается неправильно, за счет цилиндрической ткани.
Как проявляется эрозия шейки матки?
Что такое эрозия шейки матки становится понятней при изучении ее проявлений. Характерным симптомом выступает легкое кровотечение от сексуальной связи, занятия спортом. Говорить о бессимптомном течении, можно если она будет существовать месяцы не причиняя дискомфорта. Постепенно состояние усугубляется, клиника нарастает:
- Слизистые выделения становятся обильней, приобретают неприятный запах, встречаются капли гноя.
- Бели раздражают вульву, влагалище. Появляется отечность, покраснение, жжение.
- Вследствие экссудации вагина сужается, начинается сдавливание нервных окончаний. Присоединяются боли внизу брюшной стенки (надлобковой части живота).
- Половой контакт травмирует шейку, что сопровождается кровоточивостью, акт становится невыносимым.
Лечение эрозии шейки матки правильно начинать при первых признаках. Появление высокой температуры свидетельствует об острой инфекции. Эмоциональная неуравновешенность указывает на отклонения гуморальной регуляции, что относится к фоновым состояниям, способствующим онкологии.
Частые осложнения при нелеченых эрозиях шейки
Из-за отсутствия выраженных симптомов нет незамедлительного обращения за квалифицированной помощью, что повышает риск опасных осложнений. На первый план выходит бесплодие, трудности вынашивания плода, связанные с:
- Активным размножением инфекционных агентов, разрушающих покрытие, формируя язвенный дефект. Заживление эрозии участка шейки матки заканчивается сужением цервикального канала, затрудняющим продвижение сперматозоидов.
- Бактерии легко проникают с шейки матки в ее полость, трубы, яичники. Патологические преобразования мешают выходу яйцеклетки, имплантации плодного яйца. После удачного зачатия случается заражение эмбриона в матке, приводящее к выкидышу на раннем сроке беременности.
- Нарастание температуры тела также фиксируется при занесении бактерий в уретру, мочевой пузырь. Учитывая нагрузку на почки во время гестации, акушеры-гинекологи опасаются почечной недостаточности.
Эрозия на шейке матки предшествует дисплазии, являющейся предраковым заболеванием. Когда участок эпителия переродится трудно спрогнозировать. Чтобы избежать возникновения рака, лечиться нужно сразу, как только подтвердится диагноз.
Профилактика эрозии на шейки матки
Ведущий метод профилактики — это плановые осмотры гинеколога 1 раз в год, позволяющие своевременно выявить эрозию шейки матки. Планирующим беременность, врач составит подробный план обследования, подготовки к зачатию. Вы получите оценку здоровья, рекомендации половой гигиены:
- использовать средства барьерной контрацепции, реже менять партнеров
- отказаться от спринцевания химическими растворами
- использовать средства гигиены с натуральными компонентами
- при менструации менять тампон через каждый 4-5 часов
Эрозия на матке появляется при раннем вступлении во взрослую жизнь. Оптимально вступать в сближение с партнёром, достигнув 18-20 лет. Максимальная готовность организма женщины к родам наблюдается в 20-25 лет.
Диагностика
Обследование пациентки начинается с осмотра в зеркалах. Врач оценивает внешний вид шейки матки. При расширении влагалища видна гиперемия, утолщение, но не удается рассмотреть зону трансформации. Чтобы поставить точный диагноз назначаются лабораторные анализы, инструментальные методы выявления:
- Для определения источника воспаления сдаются бактериологические мазки и анализ ПЦР.
- Граница эрозии первично определяется при кольпоскопическом осмотре.
- Цитология или ПАП-тест отражает строение верхнего слоя шейки матки.
- Прицельную биопсию делают специальным прибором для забора тканей, материал отправляется на гистологию. Это самый точный способ, так как можно взять узкий продолговатый лоскут для изучения всех шаров шейки матки.
Благодаря такой тактике дифференциации эрозии, специалист исключает злокачественную опухоль. Полученные результаты определяют схему хирургического лечения шейки матки, обеспечивают корректность назначения лекарств.
Можно ли лечить в домашних условиях?
Отвары местного действия, обладающие противовоспалительным свойством безопасны для лечения эрозивной поверхности. Некоторые из них (облепиха) стимулируют регенерацию. Для эффективного лечения процедуры проводятся ежедневно. Одним из отваров или готовой субстанцией, указанных ниже, смачивается тампон, вставляется глубоко во влагалище и оставляется на ночь:
Если заниматься самолечением, есть вероятность, что удается добиться устранения воспалительного процесса. Помните, что самопроизвольной эпителизации эрозия не подвергается. Без уточнения диагноза по шейке матки, нельзя задействовать народные рецепты, принимать безрецептурные таблетки. В противном случае может последовать вовлечение новых тканей, их перерождение.
Эрозия по-женски — это отклонение, имеющее также связь с иммунной дисфункцией. Для улучшения самочувствия, укрепления организма можно пить спиртовую настойку корня марьина (0,5 л водки на 5 ложек травы). Пьется настой по 3 чайных ложки 2-3 раза в день. Со спринцеванием календулой, полынью, чистотелом следует быть осторожными, чтобы не нанести механическую травму шейке матки.
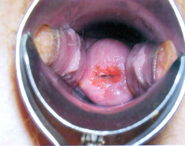
Истинная эрозия шейки матки . Диагноз ставится при наличии на мягких тканях шейки матки видимых глазу изменений. Гинеколог во время осмотра при помощи зеркал может увидеть пятно ярко красного цвета с четко очерченными границами. Располагается дефект вокруг внешнего зева матки. Диаметр измененной ткани может достигать 1 см. Заболевание находится в такой стадии до 2 недель, после чего происходит переход на стадию эктопии.
Эрозия шейки матки — проблема каждой второй женщины
Эрозия шейки матки (правильное название эктропион) — воспалительное заболевание, связанное с изменением свойств тканей органа. Эрозия чаще всего протекает бессимптомно и выявляется на поздних стадиях, что усложняет процесс лечения заболевания. Это заболевание, без должного лечения приводит к озлокачествлению мягких тканей и появлению рака шейки матки.
ПРИЕМ ГИНЕКОЛОГА — 1000 руб. КОНСУЛЬТАЦИЯ ПО РЕЗУЛЬТАТАМ АНАЛИЗОВ или УЗИ — 500 руб. НАЖМИТЕ, ЧТОБЫ ЗАПИСАТЬСЯ
Причины эрозии шейки матки
-
- Гормональный дисбаланс – любое нарушение гормонального баланса выступает благоприятным фактором для развития эрозии, в частности это особенно проявляется во время полового созревания, в период беременности и климактерических изменений.
- Пониженный иммунитет. Организм не может сопротивляться инфекциям.
- Травмирование шейки матки – может происходить во время операций, сложных родов, сопровождавшихся разрывами и различными вмешательствами, при проведении абортов и диагностических выскабливаний, при половых актах.
- Заболевания влагалища воспалительного характера (бактериальный вагиноз, молочница, вагинит, кольпит).
- Вирусные и бактериальные заболевания – вирусы и инфекции, в частности передающиеся половым путем, провоцируют развитие воспалительных процессов и эрозий (уреаплазмоз и микоплазмоз, трихомониаз, урогенитальный хламидиоз, генитальный герпес, вирус герпеса второго типа, вирус папилломы человека).
- Ранняя сексуальная жизнь и роды – возрастом наибольшего риска считается период с 15 до 17 лет (слизистая оболочка влагалища достигает полного развития только к 20-22 годам). .
- Врожденная патология (псевдоэрозия, эктопия) , наследственная предрасположенность – врачи отмечают, что у пациенток, имеющих близких родственников, страдающих заболеванием, риск развития патологии повышается.
Виды и классификация
Выделяют две формы заболевания: псевдоэрозия, истинная эрозия.
Истинная эрозия шейки матки . Диагноз ставится при наличии на мягких тканях шейки матки видимых глазу изменений. Гинеколог во время осмотра при помощи зеркал может увидеть пятно ярко красного цвета с четко очерченными границами. Располагается дефект вокруг внешнего зева матки. Диаметр измененной ткани может достигать 1 см. Заболевание находится в такой стадии до 2 недель, после чего происходит переход на стадию эктопии.
Псевдоэрозия (эктопия) . Чаще всего появляется как последствие врожденных патологий развития и строения слизистой. Также причиной возникновения эктопии может стать перенесенная ранее истинная эрозия. При этой форме заболевания наблюдается появление зоны ненормального избыточного разрастания тканей в области входа в шейку матки. Здоровые ткани слизистой шейки замещаются на клетки эпителия цилиндрической формы, которые находятся в шеечном канале. При данном диагнозе обычно отсутствуют механические повреждения слизистой и язвы. Встречается в основном у молодых женщин репродуктивного возраста и женщин с повышенным содержанием эстрогена в крови. В отличие от истинной эрозии, врожденная форма заболевания не нуждается в специальном лечении.
Основные формы псевдоэрозии
- Врожденная – обусловлена генетической предрасположенностью. Может быть диагностирована уже на первом приеме гинеколога. Только эта форма эрозии способна к самостоятельному и спонтанному исчезновению. Все остальные виды эрозии требуют лечения.
- Приобретенная – появляется после наступления полового созревания, не зависит от генетики.
- Неосложненная – симптомы заболевания полностью отсутствуют. Болезнь не прогрессирует.
- Осложненная – возникают очаги воспаления. Высока вероятность возникновения опухолей (рака). Стадия рецидивирующая.
- По причине происхождения – бывают дисгормональные, посттравматические (например, после родов или аборта) и врожденные.
- По динамике развития – определяют заживающую, стационарную (стабильную) или прогрессирующую стадии — она особенно опасна.
- По типу разрастания эпиталиальной ткани – паппилярная, железистая и с метаплазией плоских клеток.
Стадии псевдоэрозии
- Железистая – при которой цилиндрические клетки эпителия разрастаются дальше области своего нормального расположения и образуют эрозионные зоны. Продолжительность этой стадии может достигать нескольких лет.
- Папиллярная – в этот период на возникших очагах с патологической тканью кроме железистой ткани образовываются папиллярные образования состоящие из соединительной ткани (клеток шейки матки). В этот период ставится диагноз железисто-сосочковая псевдоэрозия.
- Метаплазия плоских клеток – на этом этапе происходит восстановление и разрастание плоского эпителия, в результате чего образуется несколько слоев. Это стадия носит также название железисто-кистозная псевдоэрозия шейки матки. Осложнением в этой стадии может стать образование «набатовых кист» вследствии того, что может произойти перекрытие образовавшихся желез. Слизь, образующаяся в кистах, не может выводиться естественным путем. Как следствие железы раздуваются, и образуют полости. Обстоятельство увеличивает риск возникновения инфицирования органа.
- Прогрессирующая – процесс развивается последовательно: происходит разрастание клеток эпителия, образуются железы, железистая ткань замещается бородавчатыми разрастаниями клеток шейки матки, образуются полости (кисты), присоединяется воспаление.
- Стационарная – на стадии образования наботовых кист процесс идет в обратном направлении: исчезает воспаление, восстанавливается плоский эпителий, цилиндрические клетки вытесняются нормальными. Однако не все кисты исчезают. Остаются полости до 3 мм в диаметре. Это приводит к увеличению размеров шейки и ее деформации.
- Заживающая – происходит полное вытеснение патологической ткани (цилиндрические клетки) здоровыми. Кисты исчезают. Наблюдается полное восстановление нормальной структуры эпителия.
Симптомы
Чаще всего заболевание протекает бессимптомно и женщина узнает о том, что она больна на осмотре у гинеколога. Но у некоторых женщин всё-таки проявляются некоторые симптомы эрозии, которые могут помочь диагностировать заболевание самостоятельно:
-
темного цвета, белесые и желтоватые. Цвет выделениям придают примеси крови или гноя;
- Боль во время обычного полового акта.
- Боли неясной природы внизу живота, без особых причин.
- Сбои в менструальном цикле.
- Появление болезненных ощущений при менструации.
- Зуд во влагалище (при присоединении инфекции).
- Увеличение объемов выделений не характерных для данного периода цикла.
- Небольшое постоянное повышение температуры (говорит о наличии воспаления).
При этих признаках необходимо срочно пройти осмотр гинеколога. С целью профилактики возникновения заболевания рекомендуется посещение лечащего врача 2 раза в год.
Группы риска
К группе риска данного заболевания относятся как молодые девушки в пубертатный период (половое созревание), так и женщины во время наступления климакса. Это объясняется изменениями уровня гормонов в организме.
Также к группе риска относятся девушки с беспорядочной половой жизнью.
Осложнения
Эрозия шейки матки — самая распространенная женская патология. При эрозии шейки матки высока вероятность размножения патогенных бактерий, что может вызвать множество опасных заболеваний. Так в матку могут попасть инфекции, занесенные при половом акте с инфицированным партнером, возбудители грибковых заболеваний. Основное последствие заключается в нарушении репродуктивных функций.
Ещё одна опаснейшая форма запущенной эрозии — рак. Причем как ткани матки и расположенных рядом органов могут быть поражены злокачественными образованиями, так и молочные железы, и другие органы.
Всего в медицине выделено 3 основные патологии шейки матки:
- Фоновые (эрозия) – наличие на слизистых тканях шейки механических повреждений, а также областей с измененной структурой эпителия;
- Предраковые (дисплазия) – состояние при котором происходит замещение клеток шейки матки на нетипичные, также изменяется количество слоев эпителия выстилающего шейку;
- Раковые (рак) – происходит перерождение клеток эпителия и образование областей опухоли.
Важно помнить, что предраковые и раковые заболевания половой системы женщины диагностируют зачастую при редком и нерегулярном посещении гинеколога. Патологии на ранней стадии развития поддаются несложному лечению.
Диагностика эрозии шейки матки
Поставить диагноз эрозии шейки матки может только врач — гинеколог на приеме или после получения результатов некоторых диагностических обследований. Методы исследования, которые применяются при определении эрозии шейки матки делят на следующие группы:
- Гинекологический осмотр. Диагноз будет поставлен, если на плановом приеме у врача, при визуальном осмотре были обнаружены очаги воспаления на шейке или повреждение слизистой шейки матки. Изменения отличаются красным цветом по сравнению со здоровой тканью, которая имеет бледно розовый окрас. Возможно наличие кровянистых выделений при контакте с поврежденной поверхностью.
- Бактериологическое исследование. Из влагалища берут мазок, который затем исследуют на наличие тех или иных бактерий. Мазок на флору является обязательным при каждом плановом приеме у гинеколога. Он позволяет следить за состоянием внутренней микрофлоры и назначать лечение при обнаружении болезнетворных бактерий, которые приводят к воспалениям.
- Цитологическое исследование. При помощи специального шпателя берут мазок с шейки матки, затем ищут в нем атипичные клетки, которые являются признаком воспалительных и онкологических процессов.
- Колькоскопия. Исследование проводится для более детального изучения дефекта. Способ заключается в использовании зонда с камерой на конце, изображение с которого передается на экран. Процедура совершенно безболезненна, и какая либо подготовка перед ее проведением не требуется. Кольпоскопия может включать биопсию.
- Биопсия. Если у врача при обследовании возникнут какие-либо подозрения на перерождение клеток тканей, он берет небольшой кусочек материала с поврежденного участка и направляет его на обследование для подтверждения заболевания.
- Анализ крови из вены требуется для исключения таких заболеваний как: гепатит, сифилис и ВИЧ.
Эрозия шейки матки лечится комплексно!
Существует два основных направления лечения эрозии шейки матки: медикаментозное и хирургическое. Лечение эрозии шейки матки должно проходить комплексно, то есть удаления очага болезни недостаточно, необходимо также принять курс определенных лекарственных средств, которые помогут снять воспаление, улучшить состояние и исключить вероятность рецидива.
- Медикаментозное лечение эрозии . Заключается в назначении пациентке противовоспалительных средств и лекарств, действие которых направлено на борьбу с причиной воспаления, а также на регенерацию (восстановление) поврежденных тканей. В случае если заболевание вызвано инфекцией (например, хламидиями, микоплазмой и т.д.), то полное выздоровление становится возможным только после устранения причины. Для ускорения восстановительных процессов и более эффективного лечения больной помимо лекарств назначаются вагинальные свечи, ванночки, тампоны с лекарством..
- Хирургическое лечение эрозии. Основой лечения является воздействие на поврежденную область разными способами.
Хирургическое лечение эрозий шейки матки
- Жидким азотом (метод криодеструкции) – при помощи криозонда, к пораженному участку доставляется окись азота, под действием которого происходит мгновенная кристаллизация межклеточной и внутриклеточной жидкости. Ткани, на которые было произведено воздействие разрушаются и погибают. Отмершая ткань замещается здоровым эпителием и выводится из организма за 2-3 месяца. Процедура занимает немного времени и практически безопасна. За 2 дня до операции и 1 месяц после рекомендуется воздержаться от половых контактов.
- Электрическим током (ДЭК, диатермоэлектрокоагуляция) – суть метода заключается в том, что под действием тока высокой частоты пораженные клетки уничтожаются, а на здоровые не оказывается воздействие. Вместе с тем происходит коагуляция сосудов, что позволяет избежать кровотечений. Новая ткань полностью замещает пораженную область спустя 1,5-2 месяца. Процедура назначается после окончания менструального цикла. Единственное противопоказание к проведению процедуры – отсутствие детей.
- Радиоволновым излучением – метод заключается в испарении пораженных клеток под воздействием тонкого пучка излучения. Специалист направляет луч при операции строго на границы и область пораженной ткани. Процедура проводится на 5-10 день цикла. До проведения операции за пару дней до и месяц после следует воздержаться от половой жизни. После окончания мероприятия на протяжении пары недель возможны появления выделений темного цвета.
- Лазерным излучением (лазерная деструкция) — метод идентичен со способом радиоволнового излучения.
- Термическим прижиганием (диатермокоагуляция) – при операции используется 2 электрода. Первый располагается под крестцом у пациентки, а второй используется для иссечения пораженных тканей и их прижигания Второй электрод бывает в форме петли, шарика, иглы. Каждая форма электрода применяется при различных ситуациях и требованиях операций. Форма-петля позволяет иссекать большие участки тканей и формировать форму конуса у шейки матки. Форма-шарик дает возможность местного прижигания патологической ткани. Рекомендации перед проведением процедуры, как и в других методах – воздержание от контактов сексуального характера. Операция очень болезненна и при ее проведении, в зависимости от сложности, применяется местная или общая анестезия. Также могут наблюдаться тяжелые осложнения после операции (эндометриоз, кровотечения, атрофирование тканей, стенозы, синдром коагулированной шейки, образование грубых рубцов, бесплодие, возникновение воспалительных процессов органов малого таза, нарушение менструального цикла, болевой синдром, термические ожоги, рак шейки матки, рецидивы заболевания).
Сложные хирургические процедуры при лечении шейки матки
- Операция (конизация шейки матки – применяется при плохих результатах биопсии) – выполняется под местным наркозом и заключается в иссечении и удалении пораженной ткани шейки матки. Выполняется способом лазерного излучения, термического прижигания (петлевым электродом), иссечения скальпелем. Конизация проводится непосредственно после окончания месячных. До проведения операции следует воздержаться от сексуальных контактов, а после ее завершения запрещено посещать баню и принимать ванну, а также 6 недель запрещается вступать в половые отношения;
- Пластика шейки матки (назначается после сложных родов) – операция направлена на восстановление функций влагалища, и возврат анатомической нормы шейки матки. Выполняется разными методами.
Препараты, применяемые в процессе лечения эрозии шейки матки, обладают противовоспалительной активностью, предназначены для восстановления гормонального фона, обладают противомикробной и антибактериальной активностью и способствуют укреплению иммунитета. Определить правильный диагноз и причину, а также назначить лучшее лечение может только опытный врач, исходя из данных обследования пациентки.
Самолечение заболевания недопустимо, так как может усугубить ситуацию и привести к серьезным и необратимым последствиям. Подобрать наиболее эффективный и безопасный комплекс лечения предлагают специалисты гинекологического отделения Диана.
Поделиться ссылкой:
Эрозия на шейке матки. Чем грозит патология и как ее лечить?
Эрозия шейки матки — частая причина визитов к гинекологу. Это заболевание не имеет характерных признаков, но одним из неспецифических симптомов может быть появление обильных слизистых выделений из влагалища. Сама по себе эрозия не является раком, однако, если ее не лечить, она способствует развитию злокачественного поражения. Лечение эрозий шейки матки заключается…
Эктропион шейки матки
Эктропион шейки матки характеризуется наличием деформации — выворотом слизистой матки в вагинальную часть. Эта патология не относится к онкозаболеваниям. Вывернутая наружу нижняя часть канала шейки матки имеет ярко-красный цвет и воспаленный вид, что заметно при врачебном осмотре с использованием зеркала при кольпоскопии. Те же визуальные признаки можно наблюдать при эрозии. Иногда…
Лечение запущенной эрозии за 30 минут без боли и осложнений. Возможно ли это?
Согласно последним исследованиям эрозия и псевдоэрозия шейки матки – самые распространенные патологии гинекологической сферы у женщин детородного возраста. У каждой десятой пациентки процесс переходит в рак. При этом лечение запущенной эрозии возможно и занимает не более 30 минут. Главное — не опоздать с визитом к гинекологу. Почему эрозию нужно лечить? Сегодня…
Другие статьи из блога:
- Лечение эрозии шейки матки белгород
- Лечение эрозии шейки матки азотом
- Лечение эрозии шейки матки омск
Источники и связанные статьи:

Блин у меня тоже самое на узи сказали… страшновато чё то… врач сказал не критично но всё равно переживаю. А чем лечат? Кто-нибудь сталкивался?
Ой, а что значит эрозия? У меня тоже на узи нашли… страшно теперь… а выкидыш это вообще кошмар, я только планирую беременеть… надеюсь не случится ничего плохого.
Ой у меня тоже эрозия была делала кольпоскопию там вроде ничего страшного не нашли просто прижигали а сейчас опять что-то не нравится страшно очень похожие симптомы буду еще раз к врачу идти
У меня тоже самое на узи нашли эктопия врач сказала ничего страшного просто наблюдать но я переживаю очень сильно(((
Да уж, тоже делала узи, вроде ничего страшного не нашли, но врач сказала следить. Наверное, аппараты у них тоже разные бывают, а то кто-то пишет, что сразу все видят, а кому-то 10 раз переделывают.
аааа у меня тоже самое! врач сказала тоже самое про вытеснение клеток и про воспаление. надеюсь пройдет само все это. а то страшновато честно говоря. кто нить тоже такое проходил? поделитесь опытом пжл.
Да у меня тоже самое было небольшой постоянно повышение температуры и на узи эрозия выявилась лечилась антибиотиками и свечами вроде помогло но нужно еще раз проверить врач сказал
Да у меня тоже было такое на узи нашли эрозию. Врач сказала прижечь типа токаом это безболезненно вроде ну надеюсь. Страшно конечно но вроде щас много таких процедур делают.
Божечки 3 мм это уже рак??? я в ужасе… мне тоже узи делали нашли кисту маленькую но если это так опасно… врач ничего не сказала про 3 мм… надо перепроверить срочно
Ого а я думала это просто так… переходная зона это как бы самое опасное место значит? надо будет на узи обратить внимание спросить у врача что там. а то я вообще не понимаю что там должно быть нормальным а что нет. спасибо за статью.
Ой у меня тоже самое было год назад эрозия и выкидыш на сроке 6 недель… врач сказал одно и то же… так страшно конечно… а что делать чтоб не повторилось?